
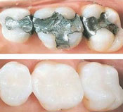
Tooth colored fillings are dental fillings used to restore teeth that are fractured or decayed. Made from durable plastics called composite resins, tooth colored fillings closely match your natural tooth’s color, appearance, and texture. In addition, they can cosmetically alter the size and shape of teeth by closing gaps, repairing chips, and giving the appearance of straighter teeth.
The benefits of tooth colored fillings extend beyond the cosmetic advantages, though. They are strong, harden quickly, don’t expand/contract in extreme hot and cold temperatures, and create a better seal over your teeth than traditional, silver/amalgam fillings. Whether you’re in need of new fillings or are considering replacing your traditional fillings, tooth colored fillings are an ideal solution.
What you can expect: Fillings usually take 30-45 minutes. It includes 15 minutes of prep time where local anesthesia is applied on or near the tooth being treated. A filling is then done to get rid of cavities, chips and improving the appearance of the teeth.
We have been practicing mercury-free dentistry since 1998. Over the years silver or amalgam fillings have been phased out due to cosmetic and heavy metal concerns.



